豊胸シリコンバッグが皮膚を突き破る直前に取り出し成功

- 見た目には大きな変化がないものの、エコー検査では皮膚からバッグまでの距離が、たった2.1mmと判明
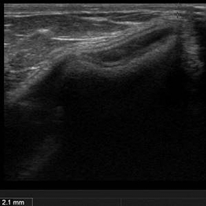
つい先日も、皮膚を突き破ってしまう直前の状態から、豊胸シリコンバッグの取り出しに成功したケースがありました。術前の状態がこちらです。
こちらの50代の女性は「バッグを入れた胸が硬く、右胸の少し赤くなっている部分がしこりのように触れる」とお悩みでした。術前のエコー検査では、豊胸シリコンバッグがリップリングを起こしており、しこり状の部分は縁が角になっており、皮膚からの距離はわずか2.1mmしかないことがはっきり見て取れました。
とても難しい皮下数ミリからの豊胸シリコンバッグ抜去
シリコンバッグを抜去(摘出)しただけでは、バストがしぼんだり陥没したりで、形が大きく崩れてしまうケースが多数。そのため、THE CLINICで治療される方のほとんどは、同時の脂肪注入をご希望されます。このケースもそうでした。
ただし、皮膚直下から豊胸シリコンバッグを抜去(摘出)しようとすると、バッグを覆っている被膜を破ってしまうことがあります。そうすると、脂肪注入の際にそこから脂肪が被膜内に入ってしまい壊死することも……。そのため、こういったケースでのシリコンバッグ抜去には、高度な技術が必要です。
さらにTHE CLINICでは次のようなこだわりのもと、治療にあたっています。
傷を増やさず、慎重に豊胸シリコンバッグを摘出
THE CLINICではバッグから位置が遠くても、余程のことがない限り傷を増やさないよう、豊胸シリコンバッグの抜去(摘出)は挿入した時と同じ脇下から行います。この際、必要以上は被膜を破らないよう細心の注意を払いながらシリコンバッグと被膜を剥離していきます。

豊胸シリコンバッグ抜去後は良質で新鮮な脂肪だけを注入する

THE CLINICが豊胸シリコンバッグ抜去(摘出)後におすすめするのは、太ももなどから採取した自身の脂肪を濃縮したコンデンスリッチファット(CRF)を活用した脂肪注入による豊胸手術です。
不純物や不活細胞はもちろん、老化細胞まで取り除くことで、新鮮で良質な脂肪細胞と脂肪幹細胞の密度を高められ、より良い効果が期待できます。
また、シリコンバッグの異常でお悩みだった方は、術後にとりわけ柔らかさ」「温かさ」に感動されます。先ほどご紹介したゲストも、「こんなに柔らかくて自然な胸になれるなら、悩まずに早く手術すればよかった。ストレスが減りました」とおっしゃっていました。
脂肪注入豊胸のしこりや壊死を防ぐ脂肪注入テクニック

重要なのは脂肪そのものだけではありません。前述のように、被膜内(シリコンバッグが入っていた空洞スペース:ポケット)に脂肪を注入してしまうと、しこりや炎症、脂肪壊死などのトラブルにつながります。そのためTHE CLINICでは、皮膚からわずか数ミリの層にもできるだけ重ならないように分散して注入するマルチプルインジェクション技術を用いています。
シリコンバッグ豊胸後に「リップリング?」と思ったらお早めにご相談を
シリコンバッグの硬さや手に触れる感触にお悩みの方は、ぜひ一度ご相談ください。皮膚壊死など深刻な状態になる前に、美しく自然なバストを取り戻す方法を提案させていただきます。
- 知恵まとめ
-
- 皮膚直下豊胸シリコンバッグも、高い技術があれば安全に傷を増やさず抜去できる
- 美しく自然なバストを取り戻したいなら、脂肪注入豊胸の同時施術がおすすめ
- しこりや壊死を未然に防ぐため、医師の技術を見極めてから治療を依頼









